Invisalign® Special
Unlock A Perfect Smile with Our Invisalign Offer:

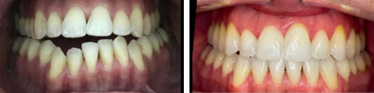
Spectacular results, BETTER, FASTER, For Less!
Creating Beautiful Healthy Smiles
 
 
561-395-4948Appointment Request

Dr. White is an Accredited Fellow in Clear Aligner Orthodontics
Meet Dr. White
Hi, my name is Dr. Kerri White, and I am pleased to offer you and your family the best dental service you have ever experienced.
I graduated from the University of Detroit Mercy, a private school with a heavy focus on clinical dentistry in the heart of Detroit, MI. It was a blizzard day in April when I finally decided to make the move to beautiful, sunny Florida. I can honestly say there is nothing else I would rather do than be a dentist. I am proud of my community and the people I serve.
My philosophy on dentistry is simple: put the patient's well-being first because every patient deserves the same standard of care as I would expect or myself. At White Smiles, we REALLY do treat you and your family like our family and we love to see you smile!
What Makes Invisalign Special
As a past board member of the American Academy of Cosmetic Dentistry, I saw firsthand the effects a misaligned bite had on the aesthetics of a patient's smile. As a family dentist, I saw its effects on the health of a patient's mouth and overall well-being. Correcting alignment can protect teeth from cracks and chips and create a healthy, natural cosmetic result. Some of my favorite smile makeovers are simply Invisalign and whitening!
Over the past 20 years, I have completed thousands of Invisalign cases. I love that I can help alleviate breathing, sleeping, and TMJ problems caused by a misaligned bite while protecting a beautiful, healthy smile for life! What we can do with Invisalign is incredible!
561-395-4948Appointment Request
What Our Patients Are Saying
We love to see you smile thats why we treat all our patients with 5 star service
 10 months ago
 10 months ago
Cathy is amazing! Dr. White did my Invisalign and my smile is perfect!
 4 months ago
 4 months ago
I always have the best experience at White Smile of Boca! Dr. White did an amazing job with my Invisalign. I love my new beautiful smile!
 11 months ago
 11 months ago
I'd like to highly recommend this office and their staff my smile is exactly what I wanted and needed! Dr. White and Sara perfected everything with Invisalign. It was quick and easy. The entire office is a complete pleasure. Myself, and three of my children have had Invisalign through Dr. White, and we are all very pleased
 9 months ago
 9 months ago
My whole family goes to White Smiles! Dr. White is just so nice and awesome. Cathy Lee, my hygienist who recommended Invisalign was so spot on, can't thank her enough! Dr. White gave my my perfect smile. I cannot stop smiling.
 11 moths ago
 11 moths ago
The best dentist office in south Florida! Dr. White did my Invisalign and now I have a perfect smile. Thank you for giving me the best smile! I will make sure to tell my friends and colleagues about your practice. Truly the best!
 9 months ago
 9 months ago
I've been going to White Smiles of Boca for over ten years now. I highly recommend Dr. White for Invisalign. Our daughter is currently in Invisalign treatment and the results are incredible so far! I've been to tons of dental offices prior to coming to White Smiles and never have I been happier with my dental care.

561-395-4948Appointment Request
Smile Gallery
561-395-4948Appointment Request
Invisalign, not your parent's metal orthodontics
19 million smiles transformed, including 5 millin teens
Scan to start your Invisalign Consult now!

Add Us To See Monthly Specials!


 
  
  
  
  
 
 
  
						 Website Powered by Sesame 24-7™
Website Powered by Sesame 24-7™